سلامت دهان و دندان، یکی از اجزای مهم سلامت عمومی بدن است، اما در بیماران مبتلا به دیابت، اهمیت این موضوع دوچندان می شود. دیابت یک بیماری مزمن است که باعث افزایش سطح گلوکز خون می شود و این تغییرات می توانند بر تمام ارگان های بدن از جمله لثه و بافت های نگهدارنده دندان تأثیر مستقیم بگذارند. تحقیقات علمی نشان داده اند که افراد مبتلا به دیابت تا سه برابر بیشتر در معرض بیماری های لثه مانند التهاب و تحلیل استخوان هستند. از طرف دیگر، مشکلات لثه نیز می توانند کنترل قند خون را دشوارتر کنند. این ارتباط دوسویه میان دیابت و سلامت دهان، نیازمند مراقبت ویژه و آگاهی دقیق از روش های پیشگیری و درمان است.

این مقاله به بررسی علمی ارتباط بین دیابت و بیماری های لثه، دلایل افزایش خطر در بیماران دیابتی، و راهکارهای عملی برای مراقبت از سلامت دهان می پردازد. همچنین، توضیح داده می شود که چرا کنترل مناسب سطح قند خون و مراجعه منظم به دندانپزشک برای این بیماران حیاتی است.
توجه داشته باشید که این مقاله صرفاً جنبه آموزشی و اطلاع رسانی دارد و به هیچ عنوان جایگزین نظر یا درمان تخصصی پزشک یا دندانپزشک نیست. برای تشخیص یا درمان دقیق بیماری های دهان و لثه در افراد دیابتی، حتماً باید به متخصص مربوطه مراجعه شود.
فهرست مطالب
- تعریف ارتباط سلامت لثه با دیابت
- تأثیر دیابت بر بافت های لثه و دهان
- بیماری های شایع دهان در بیماران دیابتی
- چرا بیماران دیابتی باید مراقبت ویژه دهان داشته باشند
- روش های پیشگیری از مشکلات دهانی در بیماران دیابتی
- نقش تغذیه در سلامت دهان و کنترل دیابت
- اهمیت مراجعات منظم به دندانپزشک در بیماران دیابتی
- نتیجه گیری
- سوالات متداول (FAQ)
تعریف ارتباط سلامت لثه با دیابت
ارتباط میان دیابت و سلامت لثه از نوعی رابطه دوطرفه برخوردار است. دیابت می تواند باعث کاهش توانایی بدن در مقابله با عفونت ها شود و این امر، لثه را در برابر التهاب و عفونت آسیب پذیرتر می کند. در مقابل، بیماری های لثه نیز با افزایش سطح التهابات سیستمیک در بدن می توانند کنترل قند خون را دشوارتر کرده و سطح گلوکز را افزایش دهند. بنابراین هر دو مورد، یکدیگر را تشدید می کنند.

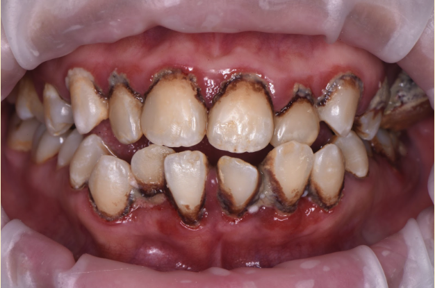
مطالعات متعدد پزشکی از جمله تحقیق دانشگاه هاروارد و انجمن دیابت آمریکا نشان داده است که التهاب لثه در افراد دیابتی بیشتر و شدیدتر از افراد سالم است. این افزایش التهاب ناشی از تغییر پاسخ ایمنی بدن در اثر بالا بودن قند خون است. لثه های بیمار اغلب قرمز، متورم و به هنگام مسواک زدن دچار خونریزی می شوند. در صورت عدم درمان مناسب، این التهاب می تواند به تخریب استخوان فک و از دست رفتن دندان ها منجر شود.
تأثیر دیابت بر بافت های لثه و دهان
دیابت ساختار بافت های بدن را در سطح سلولی تغییر می دهد. در دهان، افزایش سطح قند خون باعث کاهش جریان خون در مویرگ های لثه می شود و این پدیده منجر به کاهش توانایی ترمیم و دفاع در برابر عفونت ها می گردد. در نتیجه، کوچکترین التهاب یا عفونت دهانی می تواند در بیماران دیابتی شدت بگیرد و مدت زمان درمان طولانی تر شود.
از سوی دیگر، تغییر در ترکیب بزاق دهان در دیابت یکی از عوامل مهم آسیب به لثه است. بزاق بیماران دیابتی معمولاً دارای غلظت بیشتر گلوکز است که محیط مساعدی برای رشد باکتری ها و قارچ ها فراهم می کند. همین امر ممکن است موجب بروز عفونت های کاندیدیایی و خشکی دهان شود. خشکی دهان نه تنها روند جویدن و بلع غذا را سخت می کند بلکه احتمال پوسیدگی دندان را افزایش می دهد، زیرا بزاق نقش محافظتی مهمی در شستشوی میکروب ها دارد.
بیماری های شایع دهان در بیماران دیابتی
افراد دیابتی بیشتر از سایرین در معرض ابتلا به انواع خاصی از بیماری های دهان قرار دارند. از جمله مهم ترین این بیماری ها عبارتند از:
- التهاب لثه (ژنژیویت): اولین مرحله از بیماری های لثه که با قرمزی و تورم شروع می شود.
- پریودنتیت: نوع پیشرفته تر التهاب لثه که می تواند باعث تخریب استخوان و از بین رفتن دندان شود.
- خشکی دهان: به علت کاهش ترشح بزاق در نتیجه دیابت کنترل نشده.
- عفونت قارچی دهان (کاندیدا): در اثر افزایش قند موجود در بزاق و ضعف سیستم ایمنی.
در هر یک از این موارد، کنترل نامناسب قند خون نقش اصلی دارد. هرچه نوسان قند خون بیشتر باشد، خطر التهاب و آسیب های دهانی نیز افزایش می یابد. درمان این شرایط معمولاً شامل کنترل دقیق دیابت، رعایت بهداشت دهان، و درمان دارویی ضد التهاب و ضد میکروب به تجویز پزشک است.
چرا بیماران دیابتی باید مراقبت ویژه دهان داشته باشند
مراقبت ویژه دهان در بیماران دیابتی به این دلیل ضروری است که مشکلات دهانی آن ها هم سریع تر ایجاد می شود و هم دیرتر بهبود پیدا می کند. به عنوان مثال، زخم های دهانی در افراد دیابتی معمولاً دیرتر ترمیم می شوند و احتمال عفونت آن ها زیاد است. همچنین التهاب مزمن لثه یکی از عوامل افزایش مقاومت بدن نسبت به انسولین است، و همین موضوع کنترل دیابت را سخت تر می کند.

مراقبت ویژه شامل مواردی مانند مسواک زدن منظم با خمیر دندان حاوی فلوراید، استفاده از نخ دندان روزانه، دهانشویه ضدباکتری، و مراجعه دوره ای به دندانپزشک است. بیماران دیابتی باید نسبت به هرگونه تغییر در رنگ، تورم یا خونریزی لثه حساس باشند و فوراً مورد بررسی تخصصی قرار دهند. برخی مطالعات جدید نشان داده اند که درمان بیماری های لثه می تواند تا ۰.۴ واحد HbA1c را در بیماران کاهش دهد، که نشان دهنده تأثیر مثبت مراقبت دهان بر کنترل دیابت است.
روش های پیشگیری از مشکلات دهانی در بیماران دیابتی
پیشگیری از بیماری های دهان و لثه در بیماران دیابتی یکی از اصول اساسی کنترل سلامت عمومی است. اولین و مهم ترین اقدام، کنترل دقیق قند خون است. زمانی که سطح گلوکز خون در محدوده طبیعی نگه داشته شود، پاسخ ایمنی بدن بهتر عمل می کند و احتمال التهاب های دهانی کاهش می یابد. بیماران باید به طور منظم سطح قند خون خود را بررسی کرده و از داروهای تجویز شده مانند انسولین یا داروهای خوراکی با دقت استفاده کنند.

علاوه بر کنترل قند، رعایت بهداشت دهان و دندان نقش حیاتی دارد. مسواک زدن روزانه پس از هر وعده غذایی، استفاده از نخ دندان، و استفاده از دهانشویه های ضدباکتری از جمله اقدامات توصیه شده است. تحقیقات انجمن دندانپزشکی آمریکا نشان می دهد بیماران دیابتی که حداقل دوبار در روز مسواک می زنند و از نخ دندان استفاده می کنند، تا ۵۰ درصد کمتر دچار التهاب لثه می شوند. همچنین اجتناب از مصرف مواد قندی چسبنده و نوشیدنی های شیرین بسیار مؤثر است، زیرا تجمع این مواد روی سطح دندان محیط مناسبی برای رشد باکتری های مخرب ایجاد می کند.
بیماران دیابتی باید از مصرف سیگار نیز خودداری کنند، چون نیکوتین باعث کاهش جریان خون در بافت های لثه می شود و خطر بیماری های پریودنتال را شدیدتر می کند. در مواردی که خشکی دهان وجود دارد، توصیه می شود از آدامس های بدون قند یا جایگزین های بزاق مانند ژل های مرطوب کننده دهان استفاده شود تا رطوبت دهان حفظ گردد.
نقش تغذیه در سلامت دهان و کنترل دیابت
تغذیه مناسب، ستون اصلی کنترل دیابت و سلامت لثه محسوب می شود. رژیم غذایی بیماران دیابتی باید شامل مواد غذایی دارای فیبر بالا، سبزیجات تازه، میوه های کم قند مانند سیب و گریپ فروت، و غلات کامل باشد. این غذاها به تنظیم قند خون کمک می کنند و موجب کاهش التهاب سیستمیک در بدن می شوند. در مقابل، مصرف غذاهای فرآوری شده، چرب و شیرینی ها باید به حداقل برسد، زیرا باعث افزایش ناگهانی قند خون و رشد باکتری های دهانی می شود.
ویتامین C، ویتامین D، و کلسیم نقش مهمی در سلامت لثه و استخوان فک دارند. کمبود این ترکیبات می تواند منجر به ضعف بافت لثه و افزایش احتمال خونریزی شود. همچنین مصرف مقدار کافی آب در طول روز باعث شستشوی باکتری ها و باقی مانده غذا از سطح دندان ها شده و خشکی دهان را کاهش می دهد. پژوهش های اخیر در ژورنال Diabetes Care نشان داده اند که مصرف غذاهای ضدالتهاب مانند ماهی های چرب (حاوی امگا 3)، گردو و زردچوبه، می تواند روند ترمیم لثه را در بیماران دیابتی بهبود دهد و مقاومت بدن نسبت به انسولین را کمتر کند.
توجه به وعده های غذایی منظم نیز از اهمیت بالایی برخوردار است، زیرا نوسان مداوم سطح گلوکز نه تنها کنترل دیابت را دشوار می کند بلکه مستقیماً موجب التهاب های دهانی می شود. بیماران باید از پرخوری یا حذف وعده های غذایی پرهیز کنند و رژیم غذایی خود را زیر نظر متخصص تغذیه تنظیم نمایند.
اهمیت مراجعات منظم به دندانپزشک در بیماران دیابتی
مراجعه منظم به دندانپزشک برای بیماران دیابتی باید یکی از بخش های ثابت برنامه مراقبتی آن ها باشد. در این معاینات، دندانپزشک می تواند کوچک ترین نشانه های التهاب، خونریزی یا عفونت را سریع تر تشخیص دهد و از گسترش بیماری لثه جلوگیری کند. معمولاً توصیه می شود بیماران دیابتی حداقل هر سه تا شش ماه یک بار و در صورت نیاز زودتر، برای بررسی کامل دهان و لثه مراجعه کنند.
دندانپزشک علاوه بر نظافت تخصصی دندان ها، وضعیت عمومی لثه، تراکم استخوان فک، و سطح پلاک دندانی را بررسی می کند. در صورت وجود هرگونه مشکل، درمان هایی مانند جرم گیری حرفه ای، لیزر درمانی یا تجویز داروهای ضدباکتری انجام می شود. این مراقبت ها نه تنها سلامت دهان را بهبود می دهند بلکه به طور مستقیم بر کنترل دیابت اثر مثبت دارند.
در بیماران مبتلا به دیابت کنترل نشده، پیش از هر درمان جراحی یا تهاجمی مانند کشیدن یا ایمپلنت دندان، باید سطح قند خون پایدار شود، زیرا خطر عفونت و تأخیر در ترمیم زخم در این بیماران بسیار بالا است. همکاری نزدیک پزشک داخلی و دندانپزشک در تنظیم این برنامه درمانی اهمیت ویژه ای دارد تا از عوارض جلوگیری شود.
نتیجه گیری
ارتباط میان دیابت و سلامت لثه، ارتباطی دوطرفه و بسیار مهم است. افزایش سطح قند خون باعث تضعیف ایمنی بدن می شود و به دنبال آن خطر التهاب های دهانی و بیماری های لثه افزایش می یابد. از سوی دیگر، بیماری های لثه نیز می توانند کنترل دیابت را سخت تر کنند و قند خون را بالا ببرند. بنابراین مراقبت از سلامت دهان در بیماران دیابتی نه تنها به حفظ دندان ها و زیبایی لبخند کمک می کند، بلکه بخشی از کنترل عمومی بیماری محسوب می شود.
اقدامات پیشگیرانه مثل کنترل دقیق قند خون، رعایت بهداشت دهان، تغذیه مناسب، و مراجعه منظم به دندانپزشک، ابزارهای اصلی برای حفظ سلامت دهانی در این بیماران هستند. آگاهی از علائم اولیه بیماری های دهان، مانند خونریزی لثه یا بوی بد دهان، می تواند از خطرات جدی تر پیشگیری کند. در نهایت باید تاکید کرد که همکاری نزدیک میان فرد بیمار، پزشک و دندانپزشک برای دستیابی به سلامت کامل و کنترل پایدار دیابت ضروری است.
سوالات متداول (FAQ)
1. آیا بیماری لثه می تواند باعث افزایش قند خون شود؟
بله، التهاب مزمن لثه باعث افزایش سطح مواد التهابی در خون مانند TNF-α و IL-6 می شود که مقاومت بدن نسبت به انسولین را زیاد می کنند و در نتیجه کنترل قند خون سخت تر می شود.
2. چرا بیماران دیابتی بیشتر دچار خشکی دهان می شوند؟
دیابت سطح گلوکز بزاق را بالا می برد و باعث کاهش ترشح بزاق در برخی غدد می شود. همین موضوع خشکی دهان، افزایش پوسیدگی و عفونت قارچی را در پی دارد.
3. هر چند وقت یکبار بیماران دیابتی باید به دندانپزشک مراجعه کنند؟
توصیه می شود بیماران دیابتی هر سه تا شش ماه یک بار برای معاینه کامل دهان و لثه مراجعه کنند و در صورت مشاهده خونریزی، تورم یا تغییر رنگ لثه، مراجعه فوری انجام دهند.
منابع و رفرنس های علمی
- American Diabetes Association (ADA), “Diabetes and Oral Health”, 2024
- Harvard School of Dental Medicine, Periodontal Disease and Diabetes Research Summary, 2023
- Diabetes Care Journal, “Effect of Periodontal Treatment on Glycemic Control”, 2022
- World Health Organization (WHO), Oral Health and Noncommunicable Diseases, 2023




