
لب پر شدن دندان جلو یکی از مشکلات شایع دهان و دندان است که علاوه بر ایجاد اختلال در زیبایی لبخند، می تواند روی اعتماد به نفس، سلامت دهان و حتی نحوه صحبت کردن تاثیر بگذارد. این اتفاق ممکن است به علت ضربه، جویدن غذا های سخت، پوسیدگی یا حتی عادت هایی مانند دندان قروچه رخ دهد. خوشبختانه پیشرفت های دندانپزشکی زیبایی و ترمیمی باعث شده درمان لب پر شدن دندان جلو نسبت به گذشته بسیار سریع تر، با کیفیت تر و ماندگار تر باشد. در این مقاله، جدید ترین و موثر ترین روش های درمانی بر اساس استاندارد های روز دنیا بررسی می شود تا شما بتوانید بهترین انتخاب را داشته باشید. توجه داشته باشید که این مقاله جایگزین تشخیص یا درمان پزشکی نیست و تنها با هدف افزایش آگاهی تهیه شده است. برای تصمیم گیری دقیق و انتخاب روش درمان، حتما باید به دندانپزشک مراجعه کنید.

در ادامه، به صورت کامل درباره راهکار های سریع مانند باندینگ کامپوزیت، راهکار های ماندگار مانند لمینت سرامیکی، روش های ترمیمی قوی مانند تاج یا روکش دندان، و همچنین گزینه های محافظتی برای جلوگیری از لب پر شدن مجدد دندان توضیح داده می شود. این مقاله با بررسی جدید ترین مقالات و منابع معتبر جهانی تهیه شده و تلاش شده محتوا کاملا اختصاصی، علمی، قابل فهم و متناسب با نیاز کاربران باشد. با مطالعه این متن می توانید دید واضحی نسبت به بهترین روش درمان لب پر شدن دندان جلو پیدا کنید و با آگاهی بیشتری برای بازگرداندن لبخند طبیعی و زیبای خود اقدام کنید.
فهرست مطالب
- درمان لب پر شدن دندان جلو با باندینگ کامپوزیت
- درمان لب پر شدن دندان جلو با لمینت سرامیکی
- ترمیم لب پر شدن دندان جلو با روکش کامل یا تاج
- ترمیم شکستگی های عمیق دندان با درمان ریشه
- پر کردن لب پر شدگی های کوچک دندان جلو
- درمان محافظتی برای جلوگیری از لب پر شدن مجدد دندان جلو
- مقایسه بهترین روش های ترمیم دندان جلو
- نتیجه گیری
- سوالات متداول
درمان لب پر شدن دندان جلو با باندینگ کامپوزیت
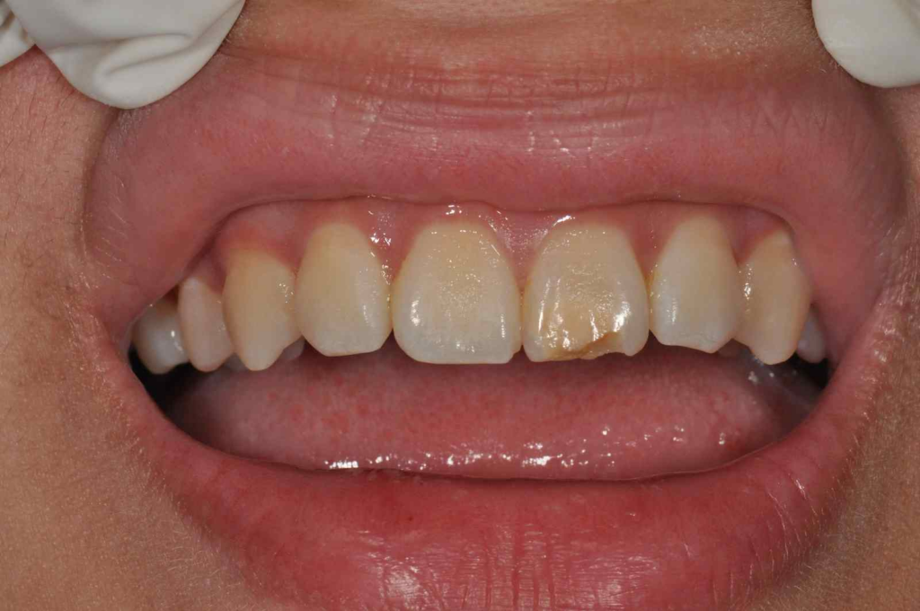
باندینگ کامپوزیت یکی از رایج ترین روش های درمان لب پر شدن دندان جلو است و به دلیل سرعت بالا، هزینه مناسب و طبیعی بودن ظاهر دندان، محبوبیت زیادی دارد. در این روش، دندانپزشک از مواد کامپوزیتی همرنگ دندان برای بازسازی قسمت لب پر شده استفاده می کند. این مواد پس از شکل دهی و فرم دهی، با نور مخصوص سفت می شوند و بلافاصله امکان استفاده از دندان وجود دارد. باندینگ کامپوزیت برای لب پر شدگی های کوچک تا متوسط گزینه بسیار مناسبی است و معمولا بدون تراش دندان انجام می شود، بنابراین روشی کم تهاجمی محسوب می شود.

مهم ترین مزیت باندینگ سرعت انجام آن است، زیرا در یک جلسه کامل می شود. علاوه بر این، ظاهر دندان پس از باندینگ کاملا طبیعی خواهد بود. البته کامپوزیت نسبت به لمینت سرامیکی مقاومت کمتری دارد و ممکن است در اثر فشار زیاد یا عادت های دندانی آسیب ببیند. به همین دلیل رعایت مراقبت های پس از درمان، پرهیز از جویدن خوراکی های سخت و معاینه دوره ای دندان اهمیت زیادی دارد. برای بیمارانی که به دنبال روشی اقتصادی، سریع و زیبا هستند، باندینگ کامپوزیت یکی از بهترین انتخاب ها است.
درمان لب پر شدن دندان جلو با لمینت سرامیکی
لمینت سرامیکی یکی از بهترین و بادوام ترین روش های بازسازی دندان جلو است، به ویژه زمانی که لب پر شدن دندان شدیدتر باشد یا بیمار بخواهد علاوه بر ترمیم شکستگی، ظاهر کلی دندان های خود را نیز بهبود دهد. لمینت ها روکش های بسیار نازک سرامیکی هستند که روی سطح جلویی دندان قرار می گیرند و علاوه بر پوشاندن لب پر شدگی، رنگ، شکل و تقارن دندان ها را نیز زیباتر می کنند. سرامیک به دلیل مقاومت بسیار بالا و ثبات رنگ طولانی مدت از محبوب ترین مواد دندانپزشکی زیبایی جهان است.
اگرچه لمینت سرامیکی کیفیت بالایی دارد، اما نسبت به کامپوزیت هزینه بیشتری داشته و معمولا نیاز به تراش بسیار کم سطح مینای دندان دارد. نتیجه این روش همیشه بسیار طبیعی و براق است و می تواند تا سال ها بدون تغییر باقی بماند. برای بیمارانی که لب پر شدگی متوسط تا شدید دارند یا به دنبال روش ماندگار هستند، لمینت سرامیکی گزینه ای ایده آل محسوب می شود. مراقبت مناسب، استفاده نکردن از دندان ها برای شکستن اجسام و انجام جرم گیری های دوره ای به حفظ ماندگاری لمینت کمک می کند.
ترمیم لب پر شدن دندان جلو با روکش کامل یا تاج
در مواردی که دندان جلو به شدت لب پر شده و بخش زیادی از ساختار آن از بین رفته باشد، استفاده از روکش کامل یا تاج بهترین و ایمن ترین روش درمان است. روکش دندان یک کلاهک سرامیکی یا زیرکونیا است که روی دندان قرار می گیرد و ساختار ضعیف شده دندان را کاملا محافظت می کند. این روش برای دندان هایی مناسب است که قدرت کافی برای نگهداری باندینگ یا لمینت ندارند یا در اثر ضربه شدید آسیب دیده اند. روکش علاوه بر بازیابی شکل و رنگ دندان، عملکرد جویدن و حتی تلفظ را نیز بهبود می بخشد.
روکش دندان معمولا در دو جلسه انجام می شود؛ جلسه اول تراش دندان و قالب گیری و جلسه دوم قرار دادن روکش نهایی. این روش ماندگاری بسیار طولانی دارد و در صورت رعایت بهداشت دهان، می تواند بیش از ده سال دوام داشته باشد. بیماران باید مراقب باشند که از دندان روکش شده برای باز کردن بسته ها یا جویدن اجسام سخت استفاده نکنند. همچنین رعایت نخ دندان و مراجعه منظم به دندانپزشک از الزامات نگهداری روکش ها است.
ترمیم شکستگی های عمیق دندان با درمان ریشه
اگر لب پر شدن دندان جلو به حدی شدید باشد که به پالپ یا عصب دندان آسیب برسد، انجام درمان ریشه یا عصب کشی ضروری می شود. در این شرایط بیمار ممکن است درد شدید، حساسیت به دما یا تغییر رنگ دندان را تجربه کند. دندانپزشک هنگام درمان ریشه عصب آسیب دیده را خارج کرده و کانال های دندان را تمیز و پر می کند. پس از اتمام عصب کشی، دندان ضعیف می شود و برای محافظت از آن نیاز به روکش وجود دارد.
درمان ریشه برای جلوگیری از عفونت، درد و از دست رفتن دندان ضروری است. پس از انجام آن، دندانپزشک معمولا یک روکش کامل روی دندان قرار می دهد تا ساختار آن تقویت شود و امکان لب پر شدن مجدد کاهش یابد. این روش بهترین گزینه برای حفظ دندانی است که بخش زیادی از آن از بین رفته اما هنوز قابل نگه داشتن است.
پر کردن لب پر شدگی های کوچک دندان جلو
در لب پر شدگی های بسیار کوچک که تنها گوشه یا لبه نازکی از دندان آسیب دیده باشد، دندانپزشک ممکن است از روش ساده ترمیم با مواد کامپوزیت استفاده کند. این روش نسبت به باندینگ کامل سبک تر و سریع تر است و تنها همان قسمت لب پر شده ترمیم می شود. این درمان در صورتی مناسب است که ساختار کلی دندان سالم باشد و شکستگی عمیق نباشد. ترمیم های کوچک معمولا بدون تراش دندان انجام می شوند و درد یا ناراحتی خاصی ایجاد نمی کنند.
با وجود این که ترمیم های کوچک بسیار ساده هستند، باید دقیق و ظریف انجام شوند تا هماهنگی رنگ و فرم دندان حفظ شود. معمولا این نوع ترمیم ها ماندگاری کمتری نسبت به لمینت یا روکش دارند، اما برای آسیب های خفیف کاملا کافی هستند. مراقبت از ترمیم های کوچک شامل دوری از عادت های مخرب مانند جویدن یخ و ناخن، و مراجعه منظم جهت بررسی وضعیت ترمیم است.
درمان محافظتی برای جلوگیری از لب پر شدن مجدد دندان جلو
برای جلوگیری از آسیب مجدد دندان هایی که ترمیم شده اند، استفاده از روش های محافظتی بسیار مهم است. افرادی که دندان قروچه دارند یا شب ها با فشار دندان قفل می کنند، باید از نایت گارد استفاده کنند. این ابزار پلاستیکی شفافی است که روی دندان ها قرار می گیرد و از آنها در برابر فشار های ناگهانی محافظت می کند. همچنین کسانی که ورزش های پر برخورد مانند فوتبال یا رزمی انجام می دهند، بهتر است از محافظ دندان استفاده کنند تا احتمال ضربه کاهش یابد.

علاوه بر محافظ های فیزیکی، رعایت مراقبت های بهداشتی مثل مسواک زدن، استفاده از نخ دندان و مراجعه هر شش ماه به دندانپزشک برای بررسی وضعیت ترمیم و جلوگیری از پوسیدگی ضروری است. افراد باید از جویدن غذا های بسیار سفت، باز کردن بسته ها با دندان و خوردن یخ یا خشکبار با دندان جلو خودداری کنند. رعایت این موارد کمک می کند ترمیم ها سال ها ماندگار بمانند.
مقایسه بهترین روش های ترمیم دندان جلو
انتخاب بهترین روش درمان به شدت آسیب، بودجه، نیاز های زیبایی و شرایط کلی دندان بستگی دارد. باندینگ کامپوزیت سریع، اقتصادی و زیبا است اما دوام کمتری نسبت به روش های دیگر دارد. لمینت سرامیکی ظاهر بسیار طبیعی و ماندگاری طولانی ارائه می دهد اما هزینه بیشتری دارد. روکش دندان برای آسیب های شدید بهترین گزینه است و مقاومت بسیار بالایی دارد. ترمیم های کوچک نیز مناسب آسیب های سطحی هستند و بدون تغییر زیاد در ساختار دندان انجام می شوند.
دندانپزشک بر اساس وضعیت هر دندان، عکس رادیولوژی و نیاز بیمار بهترین گزینه را پیشنهاد می دهد. در بسیاری از موارد، انتخاب درست می تواند هم لبخند را زیبا تر کند و هم مانع از مشکلات بیشتر در آینده شود. توصیه می شود قبل از انتخاب روش درمان، مزایا، معایب و ماندگاری هر روش را به طور کامل بررسی کنید تا بهترین تصمیم را بگیرید.
نتیجه گیری
لب پر شدن دندان جلو یک مشکل آزار دهنده اما کاملا قابل درمان است. بسته به شدت آسیب، می توان از روش های سریع مانند باندینگ کامپوزیت یا روش های ماندگار مانند لمینت سرامیکی و روکش دندان استفاده کرد. مراجعه به دندانپزشک متخصص و انتخاب صحیح روش درمان، بهترین نتیجه را برای حفظ سلامت و زیبایی دندان ها فراهم می کند. همچنین رعایت مراقبت های بعد از درمان نقش مهمی در افزایش دوام ترمیم دارد. اگر دچار لب پر شدن دندان جلو شده اید، بهتر است هر چه زود تر اقدام کنید تا از آسیب بیشتر جلوگیری شود.
سوالات متداول
آیا لب پر شدن دندان جلو بدون درد درمان می شود؟
بله، بیشتر روش های درمانی مانند باندینگ کامپوزیت و لمینت بدون درد هستند و تنها در موارد آسیب های عمیق ممکن است نیاز به بی حسی باشد.
کدام روش ماندگار ترین درمان برای لب پر شدن دندان جلو است؟
لمینت سرامیکی و روکش دندان جزو ماندگار ترین روش های ترمیم دندان جلو هستند و در صورت مراقبت مناسب تا سال ها دوام دارند.
آیا ترمیم لب پر شدن دندان جلو تغییر رنگ می دهد؟
ترمیم کامپوزیت ممکن است بعد از چند سال کمی تغییر رنگ دهد، اما لمینت و روکش های سرامیکی ثبات رنگ بسیار بالا دارند.

