
سرطان دهان یکی از جدی ترین بیماری های مرتبط با مصرف سیگار و سایر محصولات دخانی است که سالانه جان هزاران نفر را در سراسر جهان تهدید می کند. این مقاله با هدف افزایش آگاهی عمومی نوشته شده و به هیچ عنوان جایگزین تشخیص یا درمان پزشکی نیست. اگر شما یا اطرافیانتان سیگاری هستید یا علائم مشکوکی در دهان خود مشاهده می کنید، مراجعه به پزشک یا دندانپزشک ضروری است. تشخیص زودهنگام می تواند تفاوت میان یک درمان ساده و یک مسیر درمانی پیچیده و پرهزینه باشد.
در این مقاله به صورت جامع و علمی بررسی می کنیم که چرا غربالگری سرطان دهان در افراد سیگاری اهمیت حیاتی دارد، چگونه انجام می شود، چه علائمی باید جدی گرفته شوند و نقش تشخیص زودهنگام در افزایش طول عمر و کیفیت زندگی چیست. همچنین به جدیدترین یافته های علمی و استانداردهای جهانی غربالگری اشاره خواهیم کرد تا دیدگاهی کامل و کاربردی در اختیار شما قرار دهیم.
فهرست مطالب
- سرطان دهان چیست و چرا در افراد سیگاری شایع تر است
- اهمیت غربالگری سرطان دهان در افراد سیگاری
- تشخیص زودهنگام سرطان دهان و تاثیر آن بر نجات جان
- روش های غربالگری سرطان دهان برای افراد سیگاری
- علائم هشداردهنده سرطان دهان در سیگاری ها
- نقش پیشگیری و ترک سیگار در کاهش خطر سرطان دهان
سرطان دهان چیست و چرا در افراد سیگاری شایع تر است
سرطان دهان به مجموعه ای از بدخیمی ها اطلاق می شود که بافت های دهان، زبان، لثه، کف دهان، سقف دهان و گاهی لب ها را درگیر می کنند. شایع ترین نوع آن کارسینوم سلول سنگفرشی است که از سلول های پوششی دهان منشا می گیرد. این سرطان می تواند به سرعت رشد کند و در صورت عدم تشخیص به موقع به غدد لنفاوی گردن و سایر اندام ها گسترش یابد.

افراد سیگاری به دلیل تماس مداوم مخاط دهان با مواد سرطان زا مانند نیکوتین، قیر و ترکیبات شیمیایی سمی، در معرض خطر بسیار بالاتری قرار دارند. مصرف طولانی مدت سیگار باعث آسیب DNA سلول های دهانی و کاهش توان ترمیم طبیعی بدن می شود. همچنین ترکیب سیگار با مصرف الکل خطر بروز سرطان دهان را چندین برابر افزایش می دهد و این موضوع در مطالعات اپیدمیولوژیک به اثبات رسیده است.
اهمیت غربالگری سرطان دهان در افراد سیگاری
غربالگری سرطان دهان فرآیندی است که با هدف شناسایی زودهنگام ضایعات پیش سرطانی یا مراحل اولیه سرطان انجام می شود. در افراد سیگاری که اغلب علائم اولیه را نادیده می گیرند، غربالگری منظم می تواند نقش نجات بخش داشته باشد. بسیاری از ضایعات دهانی در مراحل اولیه بدون درد هستند و فقط از طریق معاینه دقیق قابل تشخیص اند.

اهمیت غربالگری زمانی بیشتر می شود که بدانیم درمان سرطان دهان در مراحل پیشرفته اغلب نیازمند جراحی های وسیع، شیمی درمانی یا رادیوتراپی است که می توانند کیفیت زندگی بیمار را به شدت تحت تاثیر قرار دهند. تشخیص زودهنگام نه تنها شانس بقا را افزایش می دهد، بلکه امکان درمان های ساده تر و کم تهاجمی تر را فراهم می کند.
تشخیص زودهنگام سرطان دهان و تاثیر آن بر نجات جان
تشخیص زودهنگام سرطان دهان یکی از مهم ترین عوامل تعیین کننده در پیش آگهی بیماری است. مطالعات نشان می دهند که نرخ بقای پنج ساله در بیمارانی که سرطان دهان در مراحل اولیه آنها تشخیص داده می شود، به طور قابل توجهی بالاتر از افرادی است که در مراحل پیشرفته تشخیص می شوند. این اختلاف آماری به روشنی اهمیت غربالگری را نشان می دهد.

در مراحل اولیه، ضایعات سرطانی معمولا کوچک و محدود هستند و به بافت های اطراف گسترش نیافته اند. این موضوع امکان برداشت کامل ضایعه و حفظ ساختارهای حیاتی دهان را فراهم می کند. در مقابل، تاخیر در تشخیص می تواند منجر به متاستاز، کاهش پاسخ به درمان و افزایش مرگ و میر شود که در افراد سیگاری شایع تر است.
روش های غربالگری سرطان دهان برای افراد سیگاری
غربالگری سرطان دهان معمولا توسط دندانپزشک یا پزشک متخصص گوش و حلق و بینی انجام می شود. معاینه بالینی دهان، زبان و گلو اولین و مهم ترین مرحله غربالگری است. پزشک با بررسی هرگونه تغییر رنگ، زخم غیر قابل ترمیم، توده یا سفتی غیر طبیعی می تواند ضایعات مشکوک را شناسایی کند.
در برخی موارد از روش های تکمیلی مانند نور فلورسانس، رنگ آمیزی ویژه یا نمونه برداری استفاده می شود. این روش ها به تشخیص دقیق تر کمک می کنند و امکان شناسایی ضایعات پیش سرطانی را افزایش می دهند. افراد سیگاری توصیه می شوند حداقل سالی یک بار تحت غربالگری قرار گیرند، حتی اگر هیچ علامت خاصی نداشته باشند.
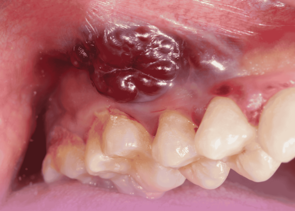
علائم هشداردهنده سرطان دهان در سیگاری ها
شناخت علائم هشداردهنده سرطان دهان می تواند به مراجعه زودهنگام به پزشک کمک کند. از جمله این علائم می توان به زخم هایی که بیش از دو هفته بهبود نمی یابند، لکه های سفید یا قرمز روی مخاط دهان، درد یا بی حسی مداوم و دشواری در بلع اشاره کرد. افراد سیگاری باید نسبت به این نشانه ها حساس تر باشند.

گاهی تغییر در صدا، لق شدن غیر طبیعی دندان ها یا تورم در ناحیه گردن نیز می تواند نشانه گسترش بیماری باشد. نادیده گرفتن این علائم و نسبت دادن آنها به مشکلات ساده دهانی می تواند تشخیص را به تاخیر بیندازد. آگاهی و اقدام به موقع نقش کلیدی در نجات جان دارد.
نقش پیشگیری و ترک سیگار در کاهش خطر سرطان دهان
پیشگیری همواره بهترین راه مقابله با سرطان دهان است و ترک سیگار مهم ترین اقدام پیشگیرانه محسوب می شود. مطالعات نشان داده اند که با ترک سیگار، خطر ابتلا به سرطان دهان به تدریج کاهش می یابد و پس از چند سال به میزان قابل توجهی نزدیک به افراد غیر سیگاری می شود. این موضوع انگیزه ای قوی برای ترک عادت دخانی است.
علاوه بر ترک سیگار، رعایت بهداشت دهان و دندان، تغذیه سالم و مراجعه منظم به دندانپزشک از دیگر عوامل موثر در پیشگیری هستند. ترکیب این اقدامات با غربالگری منظم می تواند احتمال تشخیص زودهنگام و درمان موفق را به حداکثر برساند و از پیامدهای مرگبار بیماری جلوگیری کند.
نتیجه گیری
غربالگری سرطان دهان در افراد سیگاری ابزاری حیاتی برای تشخیص زودهنگام و نجات جان انسان هاست. با توجه به شیوع بالاتر این سرطان در سیگاری ها و ماهیت خاموش علائم اولیه، انجام معاینات منظم و آگاهی از نشانه های هشداردهنده اهمیت ویژه ای دارد. تشخیص زودهنگام می تواند مسیر درمان را کوتاه تر، کم هزینه تر و موثرتر کند.
سوالات متداول
هر چند وقت یک بار افراد سیگاری باید غربالگری سرطان دهان انجام دهند؟
اغلب متخصصان توصیه می کنند افراد سیگاری حداقل سالی یک بار معاینه کامل دهان انجام دهند و در صورت وجود علائم مشکوک، این فواصل کوتاه تر شود.
آیا غربالگری سرطان دهان دردناک است؟
معاینه اولیه کاملا بدون درد است و در صورت نیاز به نمونه برداری، این کار با بی حسی موضعی انجام می شود.
آیا ترک سیگار پس از سال ها مصرف هنوز مفید است؟
بله، ترک سیگار در هر سنی می تواند خطر ابتلا به سرطان دهان را کاهش دهد و شانس بهبودی در صورت تشخیص را افزایش دهد.
منابع علمی
- https://www.cancer.org
- https://www.who.int
- https://www.ncbi.nlm.nih.gov/

