افتادن لمینت دندان نیز یکی از اتفاقاتی است که می تواند برای لمینت دندان های شما اتفاق بیفتد. خودتان می دانید که لمینت کردن دندان ها یکی از راه هایی است که به واسطه ی اجرای آن، شما دندان های زیبا تر و لبخند دلنشین تری خواهید داشت. خیلی از افراد گمان می کنند که زیبایی ناشی از لمینت کردن دندان ها تا همیشه با آن هاست اما اصلا این طور نیست و لمینت دندان نیز مانند سایر روش های ترمیم دندان ، می تواند دچار آسیب و خرابی شود. البته که خرابی ها و یا افتادن لمینت دندان، مواردی است که به راحتی قابلیت جبران دارد و مشکل جدی نیست. مگر اینکه دلیل خاصی پشت این اتفاق وجود داشته باشد که این موضوع هم باید توسط پزشک متخصص بررسی و تشخیص داده شود. دلایل زیادی وجود دارند که می توانند زمینه را برای افتادن لمینت دندان فراهم کنند که اکثر این دلایل قابل جبران هستند و خیلی زود برطرف می شوند. در ادامه به شرح هر کدام از این موارد می پردازیم. پیشنهاد می کنیم که برای آشنایی با دلایلی افتادن لمینت دندان تا انتهای مقاله با ما همراه باشید.
فهرست مطالب
- چرا لمینت دندان ممکن است افتاده یا شکسته شود؟
- دلایل افتادن لمینت دندان چیست؟
- در صورت افتادن لمینت دندان چه باید کرد؟
- درمان افتادن لمینت دندان
- چگونه میتوان از شکستن و افتادن لمینت دندان جلوگیری کرد؟
- راه های پیشگیری از افتادن لمینت دندان
- آیا می توان لمینت دندان های شکسته را تعمیر کرد؟
- آیا لمینت دندان ها به دلیل خوردگی دچار عفونت می شوند؟
- چگونه میتوان لمینت دندان ها را بهتر نگه داشت؟
- آیا لمینت دندان ها نیاز به خدمات تعمیر و تعویض دارند؟
- بعد از افتادن لمینت حساسیت دندان هایم زیاد شده است، چه کار کنم؟
- سخن پایانی و سوالات متداول
چرا لمینت دندان ممکن است افتاده یا شکسته شود؟
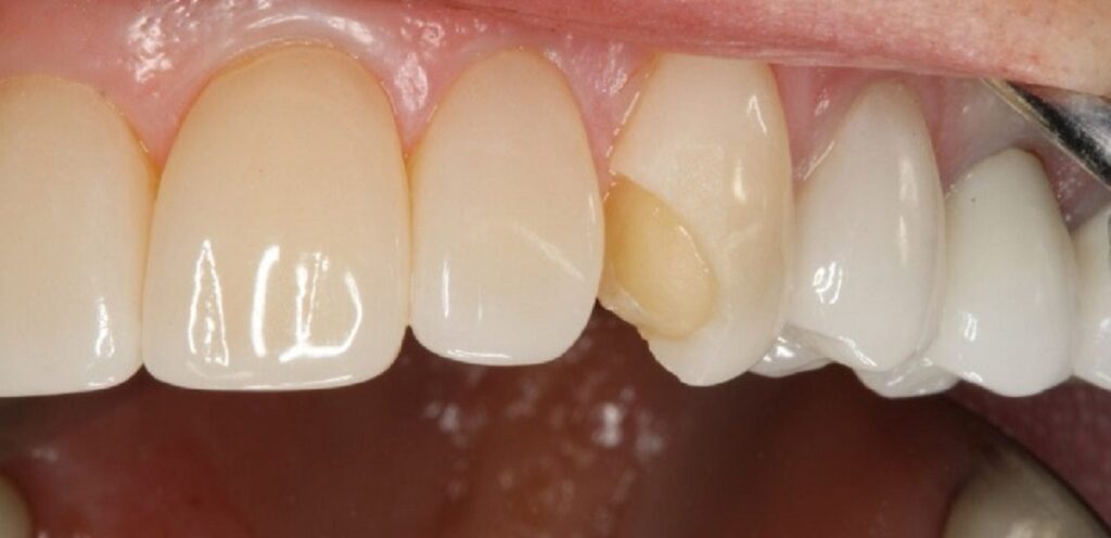
لمینت یک پوسته یا لایه نازک مخصوص است که با نصب آن روی دندان باعث تغییر سایز و اندازه، رنگ و ایجاد ظاهری آراسته و زیبا می شود. لمینت دندان را می توان یکی از پر طرفدارترین روش های زیبا سازی دندان دانست که علاوه بر طراحی لبخند موجب استحکام دندان ها نیز خواهد شد. البته انجام این فرایند مستلزم مراقبت ها و رعایت مواردی است که توسط پزشک توصیه می شود تا دوام لمینت افزایش یابد. لازم به ذکر است در صورتی که از لمینت دندان به طور صحیح نگهداری و به آن ها رسیدگی نشوند دچار آسیب و شکستگی یا افتادن و جدا شدن این لایه نازک از دندان ها خواهد شد.
به طور کلی باید گفت که افتادن یا شکستگی لمینت دندان به دلیل مراقبت های نادرست یا بی توجهی نسبت به مراقبت های لازم اتفاق می افتد. اما اگر بخواهیم بیشتر و جزئی تر به این موضوع بپردازیم باید بگوییم که دلایل متعدد و مختلفی وجود دارد که می تواند به لمینت آسیب وارد کند و دچار شکستگی و افتادن آن شود. دلایل افتادن لمینت دندان عمدتاً به عدم رعایت نکات مراقبت از لمینت از جمله گازنزدن مواد غذایی سفت یا رعایت بهداشت دهان و دندان مربوط میشود. عدم نصب صحیح لمینت و ایراد کار دندانپزشک هم میتواند علت افتادن لمینت باشد. درباره برداشتن لمینت دندان بیشتر بدانید.
دلایل افتادن لمینت دندان چیست؟
مهم ترین علل آسیب دیدن لمینت های دندانی، عبارتند از:
کهنه شدن و فرسایش لمینت ها : یکی از رایج ترین دلایلی که ممکن است شرایط را برای افتادن و یا شکستن لمینت دندان ها فراهم کند، گذشتن مدت زمان زیادی از عمر لمینت هاست. البته که لمینت ها معمولا از مواد اولیه ی محکمی در لابراتوارهای دندان پزشکی، و با دقت بسیار بالایی ساخته می شوند و محدوده ی عمری ده ساله برای آن ها تعریف شده است. با این حال ممکن است بعد از گذشت سال های طولانی، چسب نگهدارنده ی لمینت بر روی دندان ها از بین برود و لیمنت ها بیفتند البته که فرسودگی و عدم رعایت بهداشت دهان و دندان نیز می تواند به مراتب، در به وجود آمدن این وضع نقش داشته باشند.
عدم نصب صحیح لمینت روی دندان : استفاده نکردن از مواد اولیه ی باکیفیت برای لمینت دندان ها یا عدم تبحر و تخصص دندانپزشک در نصب لمینت ها، معمولا شرایط را برای افتادن لمینت دندان فراهم می کنند. معمولا هم این اتفاق به گذشتن مدت زمان زیادی بعد از اجرای درمان نیاز ندارد و اگر مواد بی کیفیت باشند و نصب به درستی اجرا نشده باشد، خیلی زود لمینت ها از روی دندان های شما می افتند. به همین منظور معمولا پیشنهاد می شود که برای انجام چنین طرح درمانی به جهت ترمیم دندان تان از یک متخصص ماهر و کاربلد کمک بگیرید تا هزینه و وقت تان تلف نشود.
پوسیدگی های دندانی : مورد بعدی که می تواند باعث افتادن لمینت دندان ها شود، انواع پوسیدگی دندان است. البته به طور نرمال، قبل از اینکه طرح لمینت بر روی دندان ها اجرا شود باید تمام پوسیدگی ها بر طرف شده و دندان های خراب درمان شوند. اما گاهی اوقات کاهلی پزشک مربوطه و یا خوردن قرص های مختلف توسط خود بیمار، باعث می شود که پوسیدگی شدیدی طی زمان در دندان های بیمار ایجاد شود. طبیعتا هر چقدر پوسیدگی بیشتر باشد، سطح سالمی که لمینت بخواهد بر روی آن بماند نیز کم کم از بین می رود و لمینت می افتد. برای جلوگیری از این اتفاق، پزشک متخصص معمولا روش های خوبی را پیشنهاد می کند.
عدم مراقبت صحیح از لمینت ها: رعایت بهداشت دهان و دندان می تواند تا حد خیلی زیادی از لمینت های شما نیز مراقبت کند. با اینکه لمینت ها معمولا یک درمان بسیار مقاوم در برابر انواع آسیب ها خارجی هستند اما گاهی اوقات، خوردن مواد غذایی خیلی سفت، گاز زدن اجسام محکم و غیره می تواند در یک آن، باعث افتادن و یا شکستن لمینت ها شود. معمولا دندانپزشک شما بعد از اینکه طرح درمان لمینت را برای شما اجرا کرد، شما را از شرایط صحیح نگهداری لمینت نیز آگاه می کند تا بتوانید با مراقبت درست، عمر مفید لمینت ها را بر روی دندان هایتان بالا ببرید.
توجه داشته باشید از مصرف خود سرانه دارو بپرهیزید یا قبل از انجام لمینت در صورت مصرف برخی داروها حتما با دندان پزشک مشورت کنید. به طور کلی با مراقبت های لازم و توصیه شده می توان تا حد قابل توجهی پوسیدگی دندان ها را کاهش داد تا موجب آسیب رسیدن به لمینت نشود. با بهترین متخصصان لمینت دندان آشنا شوید.
- مصرف برخی خوراکی ها: از جمله دلایل مهم و رایج که باعث شکستن و افتادن لمینت دندان می شود مصرف برخی از خوراکی های سخت و سفت است. جویدن یخ، آبنبات، انواع مغز ها باعث لب پرشدن یا شکستگی لمینت شده و در نهایت با تضعیف و آسیب رسیدن به آن ها به دندان های طبیعی شما نیز آسیب وارد می شود. گاز زدن هویج، خوردن تخمه با خوراکی ها و تنقلاتی از این قبیل نیز در شکستگی لمینت بی تاثیر نخواهد بود؛ بنابراین برای مراقبت از آن ها بهتر است این نکات را مد نظر داشته باشید.
در صورت افتادن لمینت دندان چه باید کرد؟
بعد از افتادن لمینتهای دندانی بدون درنظرگرفتن این که علت افتادن لمینت دندان موردنظر چیست باید در درجه اول خونسردی خود را حفظ کرد و تلاش کرد که تمام قطعات جداشده لمینت را از دهان خارج کرد. بههیچعنوان نباید قطعات شل و جداشده را مجدداً سر جای خود قرار داد، چرا که احتمال بلع تصادفی قطعات و خفگی وجود دارد. بدون اینکه چیزی بخورید یا از دندانها استفاده کنید با دندانپزشک تماس گرفته و در اولین فرصت یک نوبت برای درمان لمینت دندان بگیرید.
مینت ها سرامیک های گران قیمتی هستند که معمولا هزینه های خیلی زیادی برای نصب و استفاده از آن ها صرف می شود. بنابراین تا جایی که امکان دارد، افراد باید تلاش کنند تا آسیبی به این ابزار زیبا سازی گران قیمت آسیبی وارد نکنند. حالا اگر لمینت دندان هایتان افتاد، سعی کنید که لمینت را سالم و در ظرفی نگه دارید تا به پزشک خود مراجعه کنید.
پزشک متخصص قالب لمینت قبلی شما را بررسی میکند و در صورت عدم آسیب دیدگی دوباره آن را بر روی دندان هایتان وصل می کند. البته وصل دوباره ی لمینت بر روی دندان ها، نیازمند تراش دوباره ی دندان ها نیز می باشد.اما اگر لمینت های قبلی آسیب دیده باشند، مراحل لمینت از ابتدا تا انتها، دوباره تکرار خواهد شد. قالب گیری و تراش دندان ها و نصب نهایی لمینت. یادتان باشد که هرگز سعی نکنید لمینتی را که افتاده، خودتان و بدون دخالت دندانپزشک، دوباره وصل کنید.
درمان افتادن لمینت دندان
بعد از مراجعه به دندانپزشک، پزشک ابتدا از دلایل افتادن لمینت مطلع میشود و از شما درخصوص مواردی که میتوانند دلیل افتادن لمینت دندان باشد سوال میکند. سپس باید مراحلی را برای درمان افتادن لمینت و بازسازی آنها انجام دهد. درمان این مشکل معمولا شامل موارد زیر میشود.
۱. درمان مسائل دهانی، مانند عفونت ها و بیماری های لثه
در اولین قدم دندانپزشک باید وضعیت دهان، دندان و لثههای شما را بررسی کرده و لثه عفونت کرده یا بیماری لثه احتمالی را درمان کند. این عفونتهای دهان و لثه علاوهبر این که میتوانند دلیل افتادن لمینت دندان شوند، برای سلامتی نیز خطرناک هستند و باید حتماً بهصورت کامل درمان شوند.
۲. جایگزینی لمینت دندان با لمینت دندان جدید
در قدم بعدی دندانپزشک باید روکشهای قبلی و باقیماندههای آن را جدا کند و مجدداً مراحل قالبزدن دندانها برای ساخت لمینتهای جدید را انجام دهد. بعد از آمادهشدن لمینتهای دندانی جدید آنها را با لمینتهای قبلی جایگزین میکند.
۳. اصلاح و بازسازی دندان ها با پرکردن، ترمیم دندانی و ایجاد تراشیدگی های نیمه ساختاری
یکی از کارهایی که ممکن است دندانپزشک برای درمان افتادن لمینت دندان و جلوگیری از افتادن مجدد آن انجام دهد، اصلاح و بازسازی دندانهاست. پوسیدگی دندانها و شکستگی و ناهمواری لبه دندانها بهنوبهخود از دلایل افتادن لمینت دندان است.
بنابراین شاید نیاز باشد تا قبل از انجام لمینت جدید، دندانهای قبلی درمان شده و کارهایی مانند پرکردن دندانها، ترمیم دندان یا ایجاد تراشیدگیهای نیمه ساختاری روی آنها انجام شود. با این کار میتوان احتمال این که مجدداً لمینتها ریزش داشته باشند، از بین برد.
۴. درمان افتادن لمینت دندان در خانه
در صورت افتادن لمینتها در خانه نباید هیچ اقدام درمانی بهخصوصی انجام داد. باید قطعات را جمعآوری کرده و در سریعترین زمان ممکن به دندانپزشک مراجعه کنید. البته میتوان با تغییر عادات غذایی و استفاده از شویندههای دهان مناسب به درمان افتادن لمینت دندان کمک کرد. بههیچعنوان در خانه سعی به چسباندن و قراردادن مجدد لمینتها در جای خود نکنید.
اگر روکشها بیفتند، نباید سعی کنید آن را بهتنهایی تعمیر کنید. فرایند اجرای روکش فقط با استفاده از ابزارهای تخصصی انجام میشود. برای اتصال مجدد آن نیاز به آمادهسازی دندانها و حذف هرگونه چسب اضافی از فرایند قبلی است. باندینگ مجدد در خانه قابلانجام نیست، چسب معمولی موجود در بازار در این مورد کمکی نمیکند و حتی اگر در خانه از آنها استفاده کنید ماندگار نخواهند بود. این کار فقط ضرر بیشتری نسبت به فایده آن خواهد داشت. روکشهای افتاده یا آسیبدیده باید بادقت در یک جعبه کوچک قرار داده شوند. سعی کنید دراسرعوقت با دندانپزشک وقت ملاقات بگیرید.
چگونه میتوان از شکستن و افتادن لمینت دندان جلوگیری کرد؟
با رعایت نکات مراقبت از لمینت مانند استفاده از شوینده مناسب، رعایت بهداشت دهان و دندان و داشتن جلسات مداوم دندانپزشکی برای بررسی وضعیت لمینتهای دندان میتوان از آنها مراقبت کرد.
راه های پیشگیری از افتادن لمینت دندان
با مواردی که در این جا بهعنوان دلایل افتادن لمینت به آن اشاره شد مشخص است که ونیرهای دندانی بیخود و بیجهت نمیافتند؛ بنابراین برای جلوگیری از افتادن آنها به مراقبت پس از لمینت دندان و درمان مناسب نیاز است. مراقبت از لمینت باید درست مانند مراقبت از دندانهای طبیعی یک اولویت اصلی باشد و آن را بهعنوان یک روتین روزانه انجام داد تا ماندگاری لمینت دندان افزایش پیدا کند. همچنین باید در جلسه مشاوره از دندانپزشک سوال کنید که لمینت دندان برای چه کسانی مناسب است، تا از مناسب بودن این روش مطمئن شوید.
۱. انتخاب دندانپزشک متخصص و با تجربه برای نصب لمینت دندان
یکی از دلایل افتادن لمینت دندان نصب نادرست لمینتها و وجود هرگونه ایراد در کار دندانپزشک در مراحل انجام لمینت است. نحوه استفاده از روکش توسط دندانپزشک زیبایی میتواند پایداری و مدتزمان آنها را تعیین کند. سهلانگاری در طول عمل باعث کاهش ماندگاری روکشهای دائمی میشود.
در نتیجه حتماً در انتخاب دندانپزشک دقت کرده و قبل از انجام کار زیبایی درخصوص میزان مهارت و تجربه او تحقیق کنید. بررسی نمونه کارهای انجام شده توسط دندانپزشک موردنظر و میزان رضایت مشتریان میتواند به شما کمک کند.
۲. استفاده از محصولات شستشوی دهان مناسب برای حفظ لمینت دندان
حتماً از شویندههای مناسب برای دندانهای دارای لمینت استفاده کنید. استفاده از یک مسواک نرم و خمیردندان فلورایدی فاقد مواد ساینده ضروری است. بههیچعنوان از دهانشویههای حاوی الکل استفاده نکنید.
۳. رعایت یک رژیم غذایی سالم و استفاده از ابزارهای مناسب برای تمیز کردن دندان ها
رژیم غذایی سالمی داشته باشید. تا جایی که میتوانید در مصرف قند و کربوهیدرات و مواد غذایی و نوشیدنیهای شیرین محتاط باشید. از گاززدن مواد غذایی سفت خودداری کنید. مراقب مصرف نوشیدنیهای رنگی مانند چای و قهوه باشید. الکل و مشروبات الکلی و سیگار هم میتوانند به باندینگ لمینتهای دندانی آسیب برسانند. با خودداری از این موارد میتوانید طول عمر و ماندگاری لمینت دندانهای خود را افزایش دهید. در نهایت بعد از مصرف غذا حتماً با ابزارهای مناسب مانند نخدندانهای مخصوص ارتودنسی و لمینت دندانی، دندانهای خود را تمیز کنید.
۴. استفاده از محافظ دندان در ورزش هایی که احتمال آسیب دیدن دندان ها وجود دارد.
ضربه و آسیبهای شدیدی که در طی ورزشهای تماسی به دندانهای جلویی وارد میشود، یکی از دلایل افتادن لمینت دندان است. برای این منظور حتماً سعی کنید از محافظ دندان در زمان انجام این فعالیتهای ورزشی استفاده کنید.
آیا می توان لمینت دندان های شکسته را تعمیر کرد؟
در بیشتر مواقع باید لمینتها با روکشهای جدید تعویض شوند. اما اگر لمینتها بهصورت کامل و بدون شکستگی بیفتند شاید دندانپزشک بتواند مجدداً آنها را بچسباند.
آیا لمینت دندان ها به دلیل خوردگی دچار عفونت می شوند؟
لمینتها بهخودیخود عفونت نمیکنند؛ اما اگر مراحل آمادهسازی و درمان عفونتهای دهان و دندان بهخوبی انجام نشود احتمال عفونت وجود دارد.
چگونه میتوان لمینت دندان ها را بهتر نگه داشت؟
معمولا پس از لمینیت دندان، دندانپزشک از شما می خواهد که برای ارزیابی بیشتر پس از چند هفته به مطب مراجعه کنید تا فرصت بررسی بیشتر لمینت ونیر و نحوه مراقبت های پس از لمینیت دندان، شرایط بافت لثه و واکنش دهان و دندان شما به ونیرها را بررسی کند.
1. رعایت بهداشت دهان و دندان پس از کاشت لمینت
رعایت بهداشت دهان و دندان یکی از مهمترین مراقبت های پس از لمینت دندان است که می تواند به حفظ ونیرهای پرسلین (Porcelain) و افزایش عمر لمینت دندان تا بیش از ۱۰ سال کمک کند. بهترین روشی که می توانید بهداشت دهان و دندان خود را حفظ کنید؛ مراقبت از لمینت دندان دقیقا مانند دندان طبیعی خودتان است. گول این جمله را نخورید که ونیر پرسلین پوسیده نمی شود چون ونیر های پرسلین با دندان های طبیعی شما پیوند خورده اند و همچنان ریسک پوسیده شدن دندان های طبیعی شما و در نتیجه آسیب رسیدن به لمینت دندان وجود دارد.
برای مراقبت از لمینت دندان و تمیز نگه داشتن آن ها سه روش ساده زیر کفایت می کند:
- مسواک زدن دندانها حداقل دو بار در روز و به طور ایده آل پس از هر وعده غذایی
- نخ دندان کشیدن حداقل یک بار در روز و به طور ایده آل پس از هر وعده غذایی
- استفاده از دهانشویه های آنتی سپتیک (Antiseptic mouthwash)، یک یا دوبار در روز و به طور ایده آل پس از از خوردن یا نوشیدن مواد غذایی رنگی
دقت کنید که از دهانشویه های بدون الکل استفاده کنید چون الکل میتواند عامل پیوند بین ونیر و مینای دندان را ازبین ببرد و موجب شود؛ آنها زودتر از روی دندانهای شما بیفتند. هنگام مسواک زدن ونیر های دندانی، نگران افتادن و یا ساییده شدن آنها نباشید. مقاومت لمینیت پرسلین بسیار بالاست و به خوبی به دندان شما پیوند خورده است و میتواند فشار ناشی از مسواک زدن را تحمل کند. رعایت بهداشت دهان و دندان پس از کاشت لمینیت، خطر بروز بیماری لثه را کاهش داده و از تحلیل لثه شما جلوگیری خواهد کرد.
2. استفاده از مسواک نرم و خمیر دندان مناسب برای لمینیت
بعد از نصب ونیر های پرسلین باید از مسواک و خمیردندان مناسب استفاده کنید. مسواک هایی که دارای پرز های بسیار سفت هستند می توانند موجب سایش ونیرها و آسیب رسیدن به آن ها شوند .همچنین بهتر است از خمیردندان های غیر ساینده استفاده کنید تا آسیبی به لمینت دندان شما وارد نشود. پیش از ترک مطب دندانپزشک از او بخواهید که یک خمیردندان مناسب به شما پیشنهاد دهد. از داروخانه نیز می توانید مسواک هایی با پرز نرم که مناسب با لمینیت دندان باشد؛ خریداری کنید.
3. پیشگیری از بروز بیماریهای لثه بعد از نصب
بیماری های لثه از جمله عفونت یا بیماری پریودنتال موجب التهاب لثه میشود و احتمال تحلیل لثه را نیز افزایش می دهد و تاثیر نامطلوبی روی ونیرهای لمینت سرامیکی می گذارد. بخشی از لثه که در تماس با ونیر دندان قرار گرفته، روی ظاهر لبخند شما و همچنین سالم باقی ماندن و طول عمر لمینت دندان موثر است. بهترین راه پیشگیری از بروز بیماریهای لثه پس از لمینیت دندان، رعایت بهداشت دهان و دندان است. اگر هر کدام از دندان های زیرین لمینت شما دچار پوسیدگی شود و به سرعت آن را درمان نکنید؛ احتمال گسترش عفونت، آسیب دیدن لمینت دندان، از بین رفتن پیوند بین لمینت و مینای دندان، افتادن لمینت ها از روی دندان و همچنین بروز بیماریهای لثه را افزایش دهد.
4. چکاپ منظم لمینت های سرامیکی نزد دندانپزشک
یکی از مهمترین مراقبت های پس از لمینیت دندان مراجعه منظم حداقل هر ۶ ماه یکبار برای چکاپ ونیرهای دندانی نزد دندانپزشک است. تا زمانی که دندان ها و لثه شما سالم باقی بماند؛ لمینت های دندان نیز بدون نیاز به ترمیم و تعویض روی دندان های شما باقی خواهند ماند و ظاهر زیبای خود را حفظ می کنند. پس جلسات چکاپ نزد دندانپزشک خود را پشت گوش نیندازند و حتماً برای بررسی وضعیت لمینت ونیر های خود مراجعه کنید تا دندانپزشک با معاینه دندان های شما هر گونه پوسیدگی را در مراحل اولیه درمان کرده و از گسترش عفونت و آسیبدیدگی لمینت ها جلوگیری کند. همچنین در صورتی که هرگونه آسیب دیدگی مانند ترک خوردن یا ساییدگی در لمینت ها مشاهده شود؛ ترمیم و تعویض سریع تر آن ها به کاهش احتمال پوسیدگی دندان و آسیب دیدن سایر لمینت های سرامیکی کمک می کند.
5. خودداری از جویدن هر چیز سفت با لمینت دندان
با وجود اینکه عمر لمینتدندان بسیار بالاست و استحکام و دوام فوق العاده ای دارد؛ جویدن چیزهای سفت به طور مداوم و در طولانی مدت مانند ناخن، سر مداد، بطری فلزی یا کیسه های فلزی می تواند آسیب جبران ناپذیری به ونیرهای دندانی بزنند. بنابراین سعی کنید تا حد امکان گاز زدن چیزهای سفت مانند یخ یا غذاهای خشک را به حداقل برسانید تا عمر لمینت دندان را افزایش دهید. البته دلیلی ندارد که خوردن و نوشیدن مواد غذایی معمول را محدود کنید؛ شما می توانید با لمینیت دندان خود مثل دندانهای طبیعی هر نوع غذایی را بجوید و هر نوع نوشیدنی را مصرف کنید. فقط باید احتیاط لازم را رعایت کنید و هنگام جویدن چیزهای سفت سعی کنید از دندان های عقبی خود استفاده نمایید.
6. خودداری از ساییدن لمینت ها به دندان های مقابل
اگر عادت به دندان قروچه یا ساییدن لمینت ونیر به دندانهای مقابل خود دارید باید به سرعت این عادت را ترک کرده و از محافظ های شبانه استفاده کنید. دندان قروچه کردن طی مدت کوتاهی، آسیب بسیار شدیدی به ونیر پرسلین وارد کرده و موجب سایش آن می شود. بهتر است با دندانپزشک خود مشورت کنید تا برای کنار گذاشتن این عادت و محافظت از ونیرهای دندانی به شما کمک کند.
دندان قروچه کردن فشار بسیار زیادی به دندان های شما وارد می کند؛ این فشار می تواند موجب ترک خوردگی، شکستن، افتادن لمینت دندان یا ساییده شدن آن شود. در هر صورت، دیگر لمینت های شما زیبایی و جذابیت قبل را نخواهند داشت. استفاده از محافظ شبانه میزان استرس وارد شده به لمینیت دندان را کاهش می دهد. با این وجود عادت دندان قروچه کردن در طولانی مدت باز هم میتواند به لمینیت سرامیکی آسیب وارد کند.
7. محدود کردن مصرف غذاها و نوشیدنی های رنگی
یکی از مهمترین مراقبت های بعد از لمینیت دندان، محدود کردن مصرف غذاها و نوشیدنی های رنگی به منظور جلوگیری از زرد شدن لمینت پرسلین است. همچنین این غذاها می توانند پیوند بین ونیر و مینای دندان را از بین برده و موجب زرد شدن و تغییر رنگ آن شوند. در این شرایط، لبه ونیرهای سرامیکی تیره تر شده و زرد به نظر می رسد. برای جلوگیری از زرد شدن رنگ لمینیت دندان بهتر است نوشیدن قهوه، سودا، چای و غذاهای حاوی زعفران، زردچوبه و غیره را محدود کنید تا شانس تغییر رنگ لمینیت دندان کاهش یابد.
البته ونیر های پرسلین نسبت به زرد شدن مقاومت بیشتری در مقایسه با دندانهای طبیعی دارند. با این وجود دندانپزشک به عنوان یکی از مراقبت های پس از لمینت دندان به شما توصیه میکند که مصرف نوشیدنی ها و خوراکی های رنگی را محدود کنید.
8. ترک سیگار و قلیان
همه ما میدانیم که عادات بدی مانند سیگار کشیدن و قلیان آسیب بسیار جدی به لمینت دندان وارد میکند. کشیدن سیگار یا قلیان موجب زرد شدن، تغییر رنگ دادن، آسیب دیدن لمینیت، پوسیدگی سریعتر دندان ها، گسترش عفونت و بروز بیماری های لثه خواهد شد. بنابراین اگر میخواهید عمر لمینتدندان را افزایش دهید؛ ترک سیگار و قلیان یکی از مهمترین مراقبت های پس از لمینت دندان است.
9. محدود کردن فعالیت های فیزیکی بسیار شدید پس از کاشت لمینت دندان
فعالیت های فیزیکی برای برخی از افراد جزو سبک زندگی آنها هستند. مخصوصاً ورزشکاران در رشته های مختلف مثل بسکتبال، فوتبال، کشتی و سایر ورزشهای مشهور که اصلیترین دلیل انتخاب لمینت دندان برای آنها اصلاح طرح لبخند به علت مشهور شدنشان است؛ چاره ای جز شرکت در مسابقات ورزشی با ونیر لمینت را ندارند. مراقبت های بعد از لمینت دندان برای ورزشکاران حرفه ای علاوه بر مراقبت های معمول شامل استفاده از محافظ دهان حین فعالیتهای شدید بدنی و شرکت در مسابقات نیز می شود تا از آسیب دیدن دندان جلوگیری کند.
آیا لمینت دندان ها نیاز به خدمات تعمیر و تعویض دارند؟
اگر لمینتها شکسته شده یا بیفتند یا در صورت تغییر رنگ لمینت به تعمیر و تعویض آنها نیاز است.
این که لمینت دندان نیاز به ترمیم دارد یا خیر بستگی به نوع لمینت و وضعیت شخص بستگی دارد. به بیان دیگر هنگامی که شما از کامپوزیت که یک نوع لمینت هست، استفاده می کنید؛ می توانید به فکر ترمیم و بازسازی آن باشید. ولی هنگامی که از لمینت سرامیکی استفاده می کنید، بایستی به فکر تعویض لمینت باشید نه ترمیم.
همان گونه که گفته شد، لمینت دندان را نمی توان ترمیم نمود، پس اگر لمینت شما شکسته شود، ترک بخورد یا لب پر شود، چارهای جزو تعویض لمینت ندارید. در صورت کلی در شرایط زیر شما بایستی به فکر تعویض لمینت باشید.
- شکستن یا ترک خوردن لمینت سرامیکی
- لب پر شدن لمینت سرامیکی
- تغییر رنگ و لک شدن لمینت سرامیکی
- زیاد شدن پوسیدگی دندان زیر لمینت سرامیکی
اگر می خواهید تعویض و ترمیم انواع لمینت را به تعویق بیندازید، بایستی مراقبت های دهان و دندان را به صورت مداوم و تحت نظر پزشک متخصص انجام دهید. به علاوه باید عادت های بد مانند دخانیات و فشار دادن دندان ها روی هم را ترک کنید و دندان خود را با ابزار شکستن اجسام متعدد اشتباه نگیرید.
بعد از افتادن لمینت حساسیت دندان هایم زیاد شده است، چه کار کنم؟
باید به دندانپزشک مراجعه کنید تا وضعیت دندانهای شما بررسی شود. احتمال زیاد به درمانهایی بعد از افتادن لمینت مانند اصلاح دندان یا پرکردن آنها نیاز باشد.
سخن پایانی
شما در این مقاله با دلایل افتادن لمینت دندان آشنا شدید. همچنین از راههای پیشگیری و درمان شکستگی لمینت دندان آگاه شدید. اگر سوال یا نظری دارید آن را در کامنت مطرح کنید تا در اسرع وقت توسط ما جواب داده شود.
سوالات متداول
طول عمر لمینت دندان چقدر است؟
معمولا ماندگاری لمینت دندان بین 5 تا 10 سال است. البته همانطور که قبلا گفته شد، طول عمر لمینت سرامیکی بیشتر از لمینت کامپوزیتی میباشد. بعد از این مدت زمان نیاز است که لمینت، ترمیم یا تعویض شود.
آیا امکان خراب شدن لمینت دندان وجود دارد؟
در صورت رعایت بهداشت دهان و دندان و مراقبتهای بعد از لمینت دندان، این احتمال بسیار ضعیف است. اما همانطور که قبلا اشاره شد با گذشت 5 الی 10 سال از درمان، نیاز به بازسازی یا تعویض لمینت وجود دارد.

