جراحی های کوچک دندانپزشکی یکی از شاخه های مهم درمان های دندانپزشکی هستند که اغلب با حداقل تهاجم و در مطب، تحت بی حسی موضعی انجام می شوند. این جراحی ها با وجود سادگی نسبی، می توانند تأثیر چشمگیری بر سلامت دهان، زیبایی لبخند، و عملکرد جویدن و گفتار داشته باشند. دو نمونه رایج از این جراحی ها، فرنکتومی (برداشتن یا تغییر محل فرنوم) و افزایش طول تاج دندان (Crown Lengthening) هستند. هر یک از این روش ها کاربردها، تکنیک ها، و مزایا و معایب خاص خود را دارد که با پیشرفت فناوری های لیزر، الکتروسرجری و تکنیک های میکروجراحی، انجام آنها ایمن تر و دقیق تر شده است.
فرنکتومی معمولا در مواقعی انجام می شود که فرنوم (بافت بافت پیوندی بین دندان ها و لب یا زبان) باعث مشکلاتی مانند فاصله بین دندان ها (دیستما)، کشش لثه یا محدودیت حرکات لب و زبان می شود. این جراحی ساده ولی دقیق می تواند به بهبود عملکرد و زیبایی کمک کند و در سنین کودکی و بزرگسالی قابل انجام است. از طرف دیگر، افزایش طول تاج دندان روشی است که با حذف بافت لثه و گاهی استخوان اطراف دندان، بخش بیشتری از تاج دندان را نمایان می کند. این روش نه تنها برای اهداف ترمیمی و پروتزگذاری ضروری است، بلکه در حوزه دندانپزشکی زیبایی نیز برای اصلاح لبخند لثه ای (Gummy Smile) کاربرد گسترده ای دارد.
با وجود سادگی نسبی این روش ها، هرگونه جراحی در حفره دهان نیازمند دانش دقیق آناتومی، مهارت جراح، و رعایت کامل اصول ضدعفونی و کنترل خونریزی است.
مهم است که بیماران بدانند این مقاله صرفا جنبه آموزشی و اطلاع رسانی دارد و به هیچ عنوان جایگزین معاینه و درمان توسط دندانپزشک متخصص نیست. برای انتخاب روش مناسب و اطمینان از ایمنی و اثربخشی، مشاوره با یک متخصص جراحی لثه و زیبایی دهان ضروری است.
فهرست مطالب
- فرنکتومی چیست و چه کاربردهایی دارد
- افزایش طول تاج دندان و موارد استفاده
- تکنیک های جراحی و فناوری های نوین (لیزر، الکتروسرجری، جراحی سنتی)
- مزایا و معایب فرنکتومی و افزایش طول تاج دندان
- مراقبت های بعد از جراحی
- مقایسه دو روش از نظر کاربرد، سختی عمل و دوره نقاهت
- نکات مهم پیش از تصمیم گیری برای این جراحی ها
- نتیجه گیری
- سوالات متداول
جدول مقایسه فرنکتومی و افزایش طول تاج دندان
| ویژگی | فرنکتومی | افزایش طول تاج دندان | 
|---|---|---|
| هدف اصلی | اصلاح یا حذف فرنوم اضافی | نمایان کردن بیشتر تاج دندان | 
| کاربرد زیبایی | بله (رفع فاصله بین دندانی) | بله (اصلاح لبخند لثه ای) | 
| کاربرد درمانی | رفع محدودیت حرکتی لب/زبان، بهبود گفتار | آماده سازی برای روکش یا ترمیم | 
| مدت زمان عمل | 10-20 دقیقه | 30-60 دقیقه | 
| روش های انجام | جراحی با تیغ، لیزر، الکتروسرجری | جراحی لثه با یا بدون برداشت استخوان | 
| مدت نقاهت | 1-2 هفته | 2-4 هفته | 
| احتمال عوارض | کم (خونریزی، تورم) | متوسط (حساسیت، التهاب لثه) | 
فرنکتومی چیست و چه کاربردهایی دارد
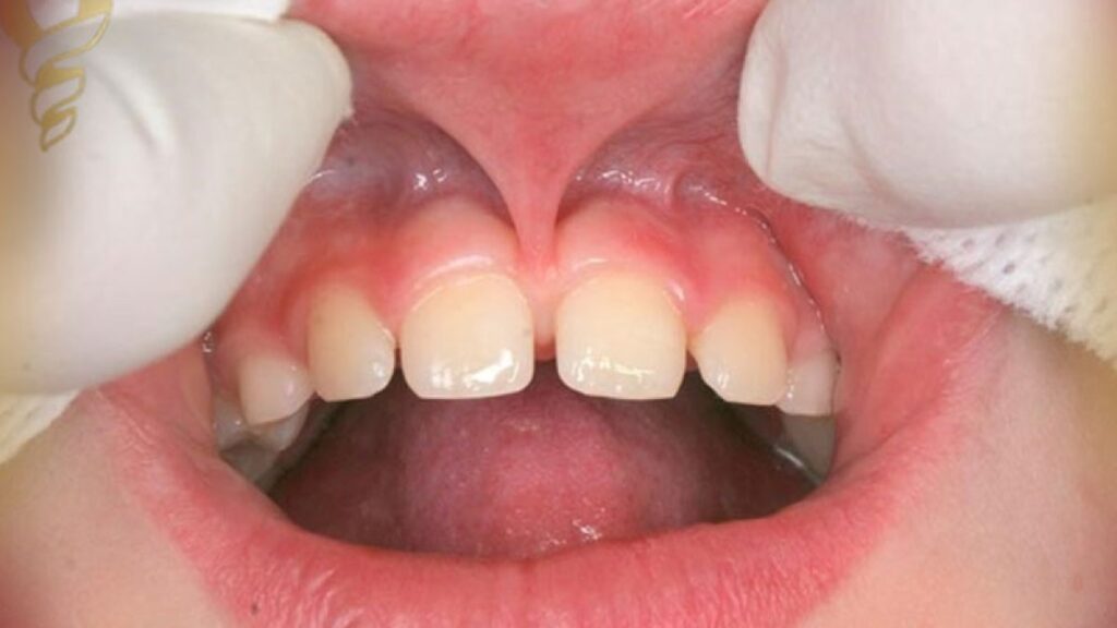
فرنکتومی یک جراحی کوچک در حفره دهان است که هدف آن حذف یا اصلاح فرنوم می باشد. فرنوم یک نوار بافت فیبروعضلانی است که لب ها یا زبان را به لثه یا استخوان فک متصل می کند. این بافت در حالت طبیعی هیچ مشکلی ایجاد نمی کند، اما گاهی اوقات موقعیت یا ضخامت آن می تواند عملکردهای مهمی مثل گفتار، جویدن، بلعیدن یا حتی ارتودنسی را تحت تأثیر قرار دهد. فرنکتومی می تواند در سه ناحیه اصلی انجام شود: فرنوم لبی بالا (Labial Frenum)، فرنوم لبی پایین (Mandibular Labial Frenum) و فرنوم زبانی (Lingual Frenum).
از نظر کاربرد، فرنکتومی بیشتر برای درمان این مشکلات انجام می شود:
- بستن فضای بین دندان های پیشین فک بالا (دیستما) قبل یا بعد از ارتودنسی
- اصلاح مشکلات گفتاری ناشی از کوتاهی فرنوم زبان (آنکیلوگلوسیا یا زبان بند)
- جلوگیری از تحلیل لثه در نواحی که فرنوم به لثه فشار وارد می کند
- کمک به بهبود بهداشت دهان با تسهیل حرکت زبان و لب در تمیز کردن سطوح دندان
مطالعات جدید نشان داده اند که استفاده از لیزر در فرنکتومی می تواند میزان خونریزی و درد پس از عمل را کاهش دهد و ترمیم سریع تر با اسکار کمتر ایجاد کند (منبع: Bhimani, 2019; Yeh & Blanchard, 2021). با این وجود، برای موارد ضخیم یا بافت فیبری فراوان ممکن است روش جراحی سنتی با تیغ جراحی هنوز انتخاب مناسب تری باشد.
افزایش طول تاج دندان و موارد استفاده
افزایش طول تاج دندان (Crown Lengthening) یک عمل جراحی است که در آن بخش بیشتری از تاج دندان در معرض دید قرار می گیرد. این هدف با برداشتن بافت لثه و در صورت نیاز بخشی از استخوان اطراف دندان انجام می شود. این جراحی در دو دسته کلی استفاده می شود:
- اهداف درمانی (Functional Crown Lengthening)
- زمانی که پوسیدگی یا شکستگی دندان تا نزدیکی خط لثه یا زیر آن گسترش یافته است، برای ترمیم یا گذاشتن روکش نیاز به دسترسی بیشتر به ساختار دندان وجود دارد.
- در اصلاح باندینگ یا گذاشتن اینله و آنله، وقتی حاشیه آماده سازی زیر لثه قرار دارد.
 
- اهداف زیبایی (Aesthetic Crown Lengthening)
- برای اصلاح لبخند لثه ای (Gummy Smile) و ایجاد تناسب بهتر بین طول دندان و نمای کلی لبخند.
- همراه با سایر روش های زیبایی مانند بلیچینگ و لمینیت برای بهبود کلی ظاهر دندان ها.
 
براساس مطالعات 2023 (Horn et al., Clinical Advances in Periodontics)، ترکیب افزایش طول تاج دندان با روش هایی مانند لیپ رپوزیشنینگ می تواند نتایج بهتری در پوشاندن لثه و ایجاد لبخندی جذاب داشته باشد. همچنین استفاده از لیزر یا الکتروسرجری به جای چاقوی جراحی می تواند زمان عمل و خونریزی را کاهش دهد.
تکنیک های جراحی و فناوری های نوین
در هر دو روش فرنکتومی و افزایش طول تاج، فناوری های مختلفی برای برش و برداشت بافت استفاده می شود:
- جراحی سنتی با تیغ (Scalpel Surgery)
- روش کلاسیک و پرکاربرد، نیاز به بخیه، خونریزی بیشتر ولی کنترل و دقت زیاد.
- هزینه کمتر و تجهیزات خاصی نیاز ندارد.
 
- لیزر (Laser Surgery)
- استفاده از لیزر دیود، Er:YAG یا CO2 که برش دقیق، خونریزی کم و نیاز کمتر به بخیه فراهم می کند.
- تسریع در ترمیم بافت و کاهش درد پس از عمل.
- محدودیت در موارد بافت فیبری ضخیم یا نیاز به برداشت استخوان.
 
- الکتروسرجری (Electrosurgery)
- استفاده از جریان فرکانس بالا برای برش و همزمان انعقاد بافت.
- مناسب برای محیط های با نیاز به دید واضح و کاهش خونریزی.
- نباید در بیماران دارای ضربان ساز یا نزدیک استخوان استفاده شود.
 
- روش های ترکیبی
- در برخی موارد، جراح از ترکیب جراحی با تیغ و لیزر استفاده می کند تا هم دقت جراحی حفظ شود و هم خونریزی کاهش یابد.
 
مزایا و معایب فرنکتومی و افزایش طول تاج دندان
مزایای فرنکتومی
- تسهیل درمان ارتودنسی و تثبیت نتایج آن
- بهبود عملکرد گفتاری و حرکات زبان
- سرعت عمل بالا و دوره نقاهت کوتاه
معایب فرنکتومی
- احتمال بازگشت بافت در موارد خاص
- خطر خونریزی یا عفونت (نادر)
- نیاز به همکاری بیمار در مراقبت های بعد از عمل
مزایای افزایش طول تاج دندان
- ایجاد فضای کافی برای ترمیم های دقیق و بادوام
- اصلاح زیبایی لبخند و کاهش لبخند لثه ای
- بهبود بهداشت و تمیز کردن بهتر حاشیه دندان
معایب افزایش طول تاج دندان
- زمان نقاهت بیشتر نسبت به فرنکتومی
- احتمال حساسیت دندان ها پس از عمل
- نیاز به مهارت بالای جراح در برداشت کنترل شده بافت استخوان و لثه
مراقبت های بعد از جراحی
- استفاده از کمپرس سرد در 24 ساعت اول برای کاهش تورم
- مصرف داروهای ضد درد و آنتی بیوتیک طبق دستور پزشک
- اجتناب از غذاهای سفت و داغ تا چند روز اول
- رعایت دقیق بهداشت دهان با مسواک نرم و دهانشویه بدون الکل
- مراجعه برای برداشتن بخیه (در روش های نیازمند بخیه)
- پیگیری منظم برای اطمینان از ترمیم کامل و عدم عود
مقایسه دو روش از نظر کاربرد، سختی عمل و دوره نقاهت
| موضوع | فرنکتومی | افزایش طول تاج دندان | 
|---|---|---|
| سختی عمل | ساده تا متوسط | متوسط تا پیچیده | 
| زمان عمل | 10-20 دقیقه | 30-60 دقیقه | 
| نقاهت | 1-2 هفته | 2-4 هفته | 
| کنترل خونریزی | آسان (به ویژه با لیزر) | دشوارتر (به دلیل درگیری استخوان) | 
| نیاز به مهارت جراح | متوسط | بالا | 
| کاربرد اصلی | رفع مشکلات فرنوم | افزایش دسترسی یا زیبایی تاج | 
نکات مهم پیش از تصمیم گیری برای این جراحی ها
- معاینه دقیق توسط متخصص جراحی لثه یا دندانپزشک زیبایی
- بررسی تصاویر رادیوگرافی برای ارزیابی استخوان و بافت نرم
- در نظر گرفتن شرایط پزشکی بیمار مانند دیابت یا مصرف داروهای ضدانعقاد
- انتخاب روش مناسب (لیزر، جراحی سنتی، یا ترکیب) بسته به شرایط بافت و اهداف درمان
فرنکتومی و افزایش طول تاج دندان از رایج ترین جراحی های کوچک دندانپزشکی هستند که هم در حوزه درمانی و هم زیبایی کاربرد گسترده ای دارند. شناخت کامل مزایا، معایب، محدودیت ها و روش های نوین انجام این جراحی ها، به بیماران کمک می کند تصمیم گیری آگاهانه تری داشته باشند. استفاده از تکنولوژی های نوین مانند لیزر و الکتروسرجری نه تنها امنیت و دقت عمل را افزایش داده، بلکه موجب کاهش ناراحتی و تسریع بهبود نیز شده است. در نهایت، انتخاب نوع جراحی باید با توجه به معاینه بالینی دقیق، شرایط عمومی بیمار و مهارت جراح انجام شود.
سوالات متداول
1. آیا فرنکتومی دردناک است؟
خیر، این جراحی با بی حسی موضعی انجام می شود و بیمار در حین عمل احساس درد ندارد. ممکن است پس از عمل کمی درد یا ناراحتی وجود داشته باشد که با مسکن های ساده قابل کنترل است.
2. آیا افزایش طول تاج دندان روی سلامت لثه اثر منفی دارد؟
اگر توسط جراح با تجربه و با رعایت اصول بیولوژیک انجام شود، نه تنها مشکلی ایجاد نمی کند بلکه می تواند به بهداشت بهتر ناحیه کمک کند.
3. بعد از چه مدت می توان فعالیت عادی را از سر گرفت؟
بیشتر بیماران پس از فرنکتومی می توانند از روز بعد فعالیت های روزمره را انجام دهند. در افزایش طول تاج، فعالیت های سبک پس از چند روز و فعالیت های کامل پس از 1 تا 2 هفته قابل انجام است.
منابع علمی:
- Horn ROR, Joly JC. Treatment of gummy smile combining crown lengthening, lip repositioning, and the use of polyester threads. Clin Adv Periodontics. 2023;13(1):42–45. doi:10.1002/cap.10214
- Bhimani RA, Sofia ND. Lip repositioning, aesthetic crown lengthening, and gingival depigmentation: a combined approach for a gummy smile makeover. J Cutan Aesthet Surg. 2019;12(4):240–243. doi:10.4103/JCAS.JCAS_25_19
- Yeh YT, Blanchard SB. Management of recurrent gummy smile after 7 years: a case report. Compend Contin Educ Dent. 2021;42(9):516–519. PubMed
- Foudah MA. Lip repositioning: an alternative to invasive surgery a 4-year follow-up case report. Saudi Dent J. 2019;31(Suppl):S78–S84. doi:10.1016/j.sdentj.2019.02.030

